北茨城市 磯原駅より徒歩5分の磯原ファミリー歯科では、歯科用CTを使った確かな検査を行っています
◆
トップページ
|
◆
医院ご案内/アクセス
|
◆
院長紹介
|
◆
歯科医師紹介
|
◆
院内設備
|
◆
CTスキャン
|
◆
安全対策
|
◆
酸素カプセル
医院所在地:〒319-1541 茨城県北茨城市磯原町磯原2-206
◆
一般歯科/小児歯科
◆
矯正歯科
◆
矯正治療Q&A
◆
歯の予防/口臭治療
◆
歯科訪問診療(往診)
◆
インプラント
◆
インプラントQ&A
◆
再生療法
◆
スマイルデンチャー(義歯)
◆
コンフォート(義歯)
◆
審美的治療
◆
ホワイトニング
◆
ホワイトニングQ&A
◆
自由診療費用/医療控除
◆
補綴物提案システム
◆
サイトマップ
磯原ファミリー歯科 スマホサイト
https://isohara-f.com/sp/
磯原ファミリー歯科/アクセスマップ
トップページ
>
CTスキャン
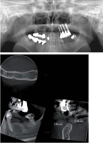
歯科用CTスキャンについて
磯原ファミリー歯科では、患者さんにより安全に治療を受けていただけるよう、レントゲン装置に歯科用CTスキャンを導入しています。
CTスキャンは、従来のレントゲンのような平面画像(2次元)ではなく、立体画像(3次元)による高精細な断層写真を撮ることが可能です。
例えば複雑な形態をしている“根”や“骨”などもコンピューターを駆使したデータ処理と画像構成により、正確な診査・診断ができるようになりました。
またデジタル式なので、身体に浴びる放射線量も従来比1/5程度と優しい設備ですので、ご安心ください。
【根尖病巣】
【歯周病】
【インプラント】
高精細な3Dレントゲン画像が可能です
CTスキャンで撮影した画像は、瞬時に各ユニットのPCにデータが搬送され、即座にビュアー・ソフトを使い360°どの角度からも状態を見ることができます。
茨城県内でもCTスキャンを導入している個人医院は少なく、また導入していても有効に活用している医院も稀少ですが、当院では本格的なインプラントセンターおよび矯正センターでの治療にも有効活用させており、希望される他医院様からの撮影だけのご依頼にもお応えしております(その場合は有償)。
さまざまな治療に応用しています
CTスキャン1台でパノラマ撮影、セファロ撮影、3D撮影が可能です。
最先端のデジタルテクノロジーを駆使し、より少ないX線照射線量で高品質画像が得られる3D画像のためのパノラマX線装置のため、様々な治療の診査に有効に利用しています。
CTスキャンの立体画像は、主にインプラントを含む口腔外科分野に威力を発揮しますが、断層方式パノラマX線写真や口内法X線撮影法では判別できない、痛みや症状の原因の究明にも役立っています。
Page-Top▲