北茨城市 磯原駅より徒歩5分の磯原ファミリー歯科では予防も大切にに考えています
◆
トップページ
|
◆
医院ご案内/アクセス
|
◆
院長紹介
|
◆
歯科医師紹介
|
◆
院内設備
|
◆
CTスキャン
|
◆
安全対策
|
◆
酸素カプセル
医院所在地:〒319-1541 茨城県北茨城市磯原町磯原2-206
◆
一般歯科/小児歯科
◆
矯正歯科
◆
矯正治療Q&A
◆
歯の予防/口臭治療
◆
歯科訪問診療(往診)
◆
インプラント
◆
インプラントQ&A
◆
再生療法
◆
スマイルデンチャー(義歯)
◆
コンフォート(義歯)
◆
審美的治療
◆
ホワイトニング
◆
ホワイトニングQ&A
◆
自由診療費用/医療控除
◆
補綴物提案システム
◆
サイトマップ
磯原ファミリー歯科 スマホサイト
https://isohara-f.com/sp/
磯原ファミリー歯科/アクセスマップ
トップページ
>
歯の予防/口臭治療
歯の予防について
現在のご自身のお口の中の状態を知っていただき、歯を失う原因となる
むし歯
や
歯周病
などの生活習慣や口腔内環境を改善していくのが
予防
です。
当院では、患者さんご自身がお口の中に興味を持ち、理解を深めていただくことが、予防の第一歩と考えております。
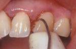
予防の基本となるのが、歯の表面のクリーニング(PMTC)と、歯と歯ぐきの境目のクリーニング(スケーリング)です。
定期的に行なうことで、虫歯や歯周病の進行を防ぐだけでなく、早期発見にも繋がります。
【PMTC】
【スケーリング】
【クリーニング前】
【クリーニング後】
口臭治療について
口臭は、起床時や空腹時、緊張時などにどんなに健康でも1日に何回か発生する「
生理的口臭
」、口腔内の状態や全身性疾患に起因する「
病的口臭
」に別けられます。
その口臭の約80%が、お口の中から発生しているニオイと言われています。
十分な口腔清掃と歯科治療によって、口臭は未然に防ぐことができます。
口臭の一番の元となるのが、舌の味蕾(みらい)に付着した口腔内細菌で「舌苔(ぜったい)」という汚れです。
通常の舌表面はうっすら白く、舌苔が少し付着しているのが正常です。
口臭予防では歯ブラシ+舌ブラシによる十分な口腔清掃の方法などをお教えしていきます。
虫歯や歯周病などを患っていると、口臭は直りません。
また、不規則でストレスの多い生活は、唾液の分泌力が低下し、口臭の原因である舌苔をつくる細菌が増殖しやすくなります。
口臭を防ぐブレスケアとして、当院では希望される方に正しい歯磨きの仕方やお口のクリーニングを提供しています。
【口臭の原因のひとつ舌苔】
【舌ブラシによる口臭予防】
だ液と飲食の関係(ステファンカーブ)にも注目!
虫歯予防では、唾液もその進行抑制効果があることが、科学的に証明されています。
ご自身の唾液の状態よって、虫歯になりやすいかどうかも判定できるようになりました。
それを表に現したのが
ステファンカーブ
です。
お口のpH値が5.5よりも酸性になると歯の成分(ミネラル)が溶け出します(脱灰といいます)。
ところが、だ液の効果により溶け出した成分が歯に戻っていきます(再石灰化)。
お口の中が酸性から中性へと戻す唾液の作用を緩衝作用といい、この能力が強いとむし歯になりにくく、弱いと虫歯の進行が早いといえます。
糖分を摂取する回数が増えると、むし歯になりやすくなります。間食の時間を決めてダラダラと食べないようにしましょう!
Page-Top▲